Schouder biceps
- Zit de schouderpijn aan de voorzijde van de schouder?
- Doet de schouder pijn bij gooien?
- Is het heffen van de arm ook pijnlijk?
Mogelijk speelt de biceps ook een rol bij de klachten. De biceps kan alleen, maar heel vaak ook naast andere structuren in de schouder, verantwoordelijk zijn voor pijn in de schouder.
Wat zijn de biceps?
De biceps is een afkorting van biceps brachii wat twee-koppige armspier betekent. De biceps bestaat uit een korte kop en een lange kop. Die laatste is soms verantwoordelijk voor schouderpijn, de korte kop is zelden aangedaan.
De lange kop van de biceps, biceps caput longum, heeft een beloop tot in het gewricht. Hierdoor speelt hij een aparte rol bij het ontstaan van schouderpijn. Schouderklachten zijn zelden eenduidig te beschrijven. Er zijn verschillende factoren die een rol spelen bij het ontstaan van schouderklachten.
Oorzaak
Oorzaak pijn bij biceps
De bicepspees kan pijn doen door:
- Trauma
- Overbelasting | instabiliteit schouder
- Ouderdom | Hoogstand van de kop van de bovenarm
- Cuffruptuur
- Ontsteking van de bicepsschede
- Reuma of andere ziektes
Bicepspees Trauma
Bij een ruk aan de arm zoals bij een val van de trap kan de pees beschadigd raken en uit zijn normale positie komen te liggen. De pees ligt nu niet langer op zijn normale plek in een gootje op de bovenarm, maar naar binnen gelegen. Soms komt de pees weer gewoon tot rust.
Echter, bij personen met veel bovenhandse arbeid of sport, kan de pees een rol gaan spelen in de schouderpijn. De pees zwelt op of schuurt langs een andere pees: oefenen leidt vaak tot meer pijn.
Bicepspees overbelasting
Bij bovenhandse sporters kan door herhaaldelijke rukjes aan de bicepspees door gooien pijn ontstaan bij de aanhechting van de bicepspees. Veelal wordt dit met rust en fysiotherapie opgelost. Bij sporters of overbelasters die een te beweeglijke schouder hebben, wordt fysiotherapie ingezet om de schouder weer stabiel te krijgen waardoor de bicepspees weer tot rust kan komen.
Bicepspees ouderdom
Net als andere pezen in het lijf neemt de kwaliteit van het peesmateriaal na het zestigste levensjaar sterk af. De pees kan dus uit zichzelf van slechtere kwaliteit worden. Mensen die roken en zonder actieve levenstijl , lopen hierop een groter risico.
Echter, mensen die juist zwaar werk hebben verricht krijgen vaak wat haakvorming aan het schoudergewricht. Soms heeft de bicepspees er last van als zo’n haakje in de buurt van de pees verloopt. (lees ook bicepspees | cuffruptuur hieronder)
Bicepspees | cuffruptuur
De schouderpezen worden ook wel de cuff genoemd. Zij houden de kop en de kom van de schouder goed op z’n plaats. Als de cuff achteruit gaat op latere leeftijd, wordt de schouderkop van de bovenarm niet meer zo goed op z’n plek gehouden in zijn kommetje door de slechtere werking van de cuff. Het gevolg is dat de schouderkop wat omhoog gaat staan, we spreken nu van een hoogstand van de schouderkop. De bicepspees, die bovenlangs loopt in het gewricht, krijgt het nu zwaar te verduren.
Bicepspees onstoken
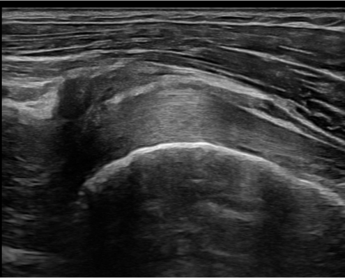
Bij ziekteprocessen zoals reuma kan de gehele schouder betrokken raken, ook de bicepspees. Soms alleen de bicepspeesschede. Dit komt minder vaak voor dan gedacht. Het is goed te beoordelen met echografie.
Klachten en symptomen
Klachten en symptomen biceps
Een van de belangrijkste symptomen van bicepspijn is
- Pijn in de schouder
- Pijn vaak aan de voorzijde of buitenzijde van de arm/bovenarm.
- Nachtelijke pijn
- Overbelasting in de voorgeschiedenis
- Heffen van de arm doet pijn, met name opzij.
- Liggen op de schouder is pijnlijk
Je kan deze symptomen gerust op andere schouderklachten plakken. Bicepspijn is dus niet zo makkelijk te onderscheiden van andere schouderaandoeningen. Bij het SchouderHuis onderzoeken we zorgvuldig waar je klachten vandaan komen.
Diagnose en onderzoek
Onderzoek bicepspees
We kijken zelden alleen naar de bicepspees. Sterker nog, de biceps is het startpunt van het lichamelijk en echografisch onderzoek waarbij we naar alle structuren van de schouder kijken.
De biceps kent de volgende meest voorkomende ziektebeelden
- Bicepspeesontsteking
- Biceps uit de kom
- Bicepsruptuur /scheur
Bicepspeesontsteking | bicepstendinopathie
Een peesontsteking wordt ook wel tendinopathie genoemd. Een peesontsteking van de biceps betekent dat de biceps verdikt en pijnlijk wordt. Door deze verdikking kan hij soms ook eerder inklemmen bij bewegen. Het heffen van de arm wordt nu gevoelig.
Biceps uit de kom
Zoals we reeds bespraken bij biceps en trauma, kan de biceps door een plotselinge ruk uit zijn ligging komen. De pees raakt instabiel en bij bewegen kan de bicepspees naar de rompzijde van de schouder komen te liggen. Dit kan op den duur vervelend worden voor de pees en deze zal pijn gaan doen.
Bicepsruptuur
Als de biceps oud genoeg wordt, of langdurig geplaagd wordt door een onfortuinlijke ligging zoals beschreven bij ‘biceps uit de kom, kan deze knappen/scheuren. Het betreft vrijwel altijd de lange kop van de bicepspees; zogenaamd biceps caput longum.
Dit geeft soms een blauwkleuring van de bovenarm. Bij ouderen is dit een veel voorkomende aandoening. Men ziet vaak een zwelling ontstaan aan de elleboogzijde van de biceps. Dit wordt ook wel het ‘Popeye-sign’, genoemd naar het beroemde mannetje met ronde spierballen na het eten van spinazie.
Gek genoeg kan het knappen van de bicepspees, hoe alarmerend dat ook is, een opluchting zijn voor mensen met langdurige schouderpijn. Soms wordt ervoor gekozen om de natuur een handje te helpen door middel van een operatie. (lees bicepspees operatie)
Diagnose en onderzoek bicepspees
We kijken zelden alleen naar de bicepspees. Sterker nog, de biceps is het startpunt van het lichamelijk en echografisch onderzoek waarbij we naar alle structuren van de schouder kijken.
De biceps kent de volgende meest voorkomende ziektebeelden
- Bicepspeesontsteking
- Biceps uit de kom
- Bicepsruptuur /scheur
Bicepspeesontsteking | bicepstendinopathie
Een peesontsteking wordt ook wel tendinopathie genoemd. Een peesontsteking van de biceps betekent dat de biceps verdikt en pijnlijk wordt. Door deze verdikking kan hij soms ook eerder inklemmen bij bewegen. Het heffen van de arm wordt nu gevoelig.
Biceps uit de kom
Zoals we reeds bespraken bij biceps en trauma, kan de biceps door een plotselinge ruk uit zijn ligging komen. De pees raakt instabiel en bij bewegen kan de bicepspees naar de rompzijde van de schouder komen te liggen. Dit kan op den duur vervelend worden voor de pees en deze zal pijn gaan doen.
Bicepsruptuur
Als de biceps oud genoeg wordt, of langdurig geplaagd wordt door een onfortuinlijke ligging zoals beschreven bij ‘biceps uit de kom, kan deze knappen/scheuren. Het betreft vrijwel altijd de lange kop van de bicepspees; zogenaamd biceps caput longum.
Dit geeft soms een blauwkleuring van de bovenarm. Bij ouderen is dit een veel voorkomende aandoening. Men ziet vaak een zwelling ontstaan aan de elleboogzijde van de biceps. Dit wordt ook wel het ‘Popeye-sign’, genoemd naar het beroemde mannetje met ronde spierballen na het eten van spinazie.
Gek genoeg kan het knappen van de bicepspees, hoe alarmerend dat ook is, een opluchting zijn voor mensen met langdurige schouderpijn. Soms wordt ervoor gekozen om de natuur een handje te helpen door middel van een operatie. (lees bicepspees operatie)
Behandeling
Behandeling bicepspees
Als blijkt dat de bicepspees verantwoordelijk is voor de pijn kan je met fysiotherapie, medicijnen, injectie en rust proberen de klachten aan te pakken. Als dit allemaal niet werkt, wordt soms gekozen voor een operatie.
Operatie
Operatie bicepspees
Bij een operatie van de schouder wordt de aanhechting van de bicepspees aan de kom van de schouder ook gecontroleerd. Indien deze rood en ontstoken oogt, wordt vaak overwogen om de pees door te nemen. Dit wordt een biceps-tenotomie genoemd. Op deze manier wordt voorkomen dat de bicepspees nog langer voor schouderpijn kan zorgen.
Als de pees wordt doorgenomen en op de bovenarm vastgezet, dan noemen we dat een bicepstenodese.
Je verwacht hiermee een hoop kracht te verliezen, maar dat valt erg mee. Doorgaans wordt aangenomen dat je ongeveer 5 % buigkracht verliest in je elleboog. De draaikracht in je elleboog, zoals bij schroevendraaien, verliest iets van 20 %. De meeste mensen merken er niet zoveel van.
Bicepspees en fysiotherapie
Bij het FysioHuis wordt na onderzoek en echografie gekeken wat de mogelijkheden zijn om de bicepspees te ontlasten. Als het gewricht beperkt is geraakt in zijn beweeglijkheid, kan de fysiotherapie helpen om deze los te krijgen door behandeltechnieken en oefentherapie.
Hierdoor kan de bicepspees ook weer wat tot rust komen.
We bespraken eerder dat een onvermogen van de schouderspieren om de kop en kom bij elkaar te houden ook een rol kan spelen bij bicepspeesklachten. Bij het FysioHuis leren we je om de schouderspieren goed in te zetten waarmee de bicepspees meer rust krijgt.
Bicepspees injectie
De bicepspees kan een langdurige aanjager van de pijn zijn. Als rust en fysiotherapie niet meer werken, kan een injectie geplaatst worden met corticosteroïden. Indien dit vlak bij de bicepspees geplaatst moet worden, is een echogeleide injectie een goede keuze. Hierbij wordt door middel van echografie gekeken waar de naald zich bevindt en wordt direct bij de pees of achter in het gewricht corticosteroïden ingebracht.
De bicepspees maakt onderdeel uit van het schoudergewricht. Een zogenaamde ‘blinde’ injectie kan ook. Nu wordt de bicepspees benadert via de achterzijde van de schouder en wordt corticosteroïden gelijkelijk verdeeld over het gewricht.
Meer over injecties
Van Aandoening naar Beter
Schoudernetwerk Midden Nederland
Bij het FysioHuis | SchouderHuis zijn we aangesloten bij het Schoudernetwerk Midden Nederland. Dit is een groep fysiotherapeuten die regionaal en landelijk afspraken hebben gemaakt over de voorwaarden en eisen die gesteld worden aan een goed revalidatieprogramma voor schouders. Ook beschikt het netwerk over nauwe contacten met (schouder) orthopeden voor over operaties of andere behandelmogelijkheden.
Meer informatie kunt u vinden op Schoudernetwerk Midden Nederland.
Klik hier om uw eigen tekst toe te voegen




