Slijtage schouder
- Heeft u al langer last van uw schouder?
- Is de arm ’s ochtends stijf?
- Kunt u de arm moeilijk optillen?
Mogelijk heeft u last van slijtage van de schouder. Dit wordt ook wel artrose genoemd.
Aan de schouder kan dit voorkomen aan het gewricht tussen de kop van de bovenarm en de kom van het schouderblad.
Slijtage aan het sleutelbeengewricht noemen we AC-artrose.
Wat is artrose in de schouder?
Een gewricht bestaat uit een kop en een kom. Beide zijn bekleed met een dun laagje hard botachtig weefsel, het is heel glad. Dit noemen we het kraakbeen. Misschien heb je zoiets weleens gezien aan het uiteinde van een kippenbotje.
Het kraakbeen zorgt ervoor dat een beweging soepel verloopt. Het kraakbeen wordt gevoed door de gewrichtsvloeistof. Kraakbeen bevat geen zenuwen, dus kraakbeen zelf kan geen pijn doen.
Bij slijtage is het laagje kraakbeen in het gewricht vermindert. Onder dit laagje kraakbeen zitten zenuwuiteinden, die kunnen wel degelijk voor pijn zorgen.
We spreken van schouderartrose als dit gebeurt in het kop-komgewricht van de schouder.
Oorzaak
Oorzaken schouderartrose
Hierbij een opsomming van mogelijke oorzaken:
- erfelijke factoren, vrouwen meer dan mannen
- verhoogd risico als er sprake is primaire artrose*
- zware arbeid
- langdurige instabiliteit schouder
- Gewrichtsontsteking zoals bij reuma, jicht of psoriasis
*Bij primaire artrose komt slijtage voor in zogenaamde voorkeurslocaties van het gewricht. Het betreft de grote teen, het duimgewricht, heup-, knie- en het schoudergewricht.
Bij het SchouderHuis kijken we met lichamelijk onderzoek en echografie naar de mogelijke oorzaken om je zo goed mogelijk te kunnen adviseren.
Klachten en symptomen
Symptomen van schouderartrose
De belangrijkste symptomen van schouderartrose zijn:
- Pijn in de schouder
- Pijn vaak aan de voorzijde of buitenzijde van de arm/bovenarm.
- Nachtelijke pijn
- Overbelasting in de voorgeschiedenis
- Kraken van de schouder
- Heffen van de arm doet pijn, met name opzij.
- Liggen op de schouder is pijnlijk
Diagnose schouderartrose
We spreken van slijtage als er sprake is van vermindering van de beweeglijkheid van het gewricht, gecombineerd met afwijkingen op de röntgenfoto. Je kunt ook van slijtage spreken als je dit alleen ziet op de foto, maar bij geen klachten noemen we dit dan ‘passend bij de leeftijd’.
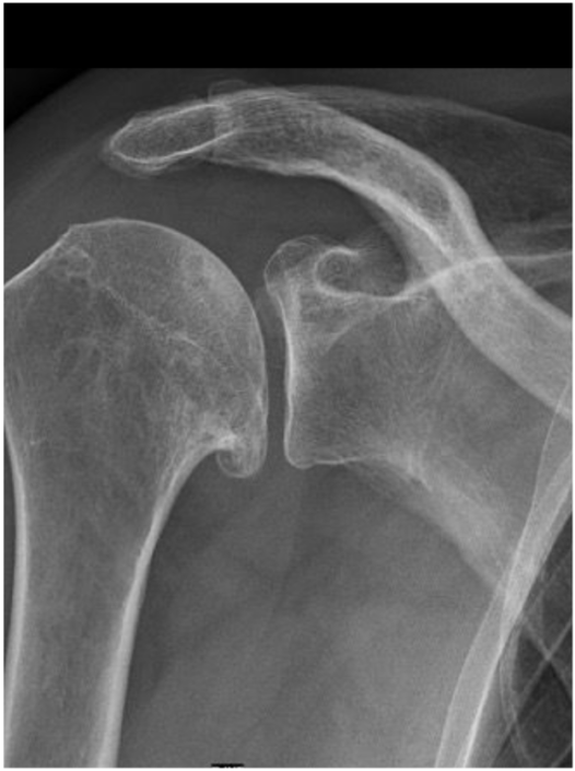
Röntgen bij artrose
Bij pijn en afname van de beweeglijkheid in combinatie met leeftijd kan je denken aan schouderartrose. De diagnose wordt officieel bevestigd met röntgen. Röntgen heeft als nadeel dat het met straling gepaard gaat. Dit wordt zoveel mogelijk vermeden, aangezien dit slecht voor je kan zijn.
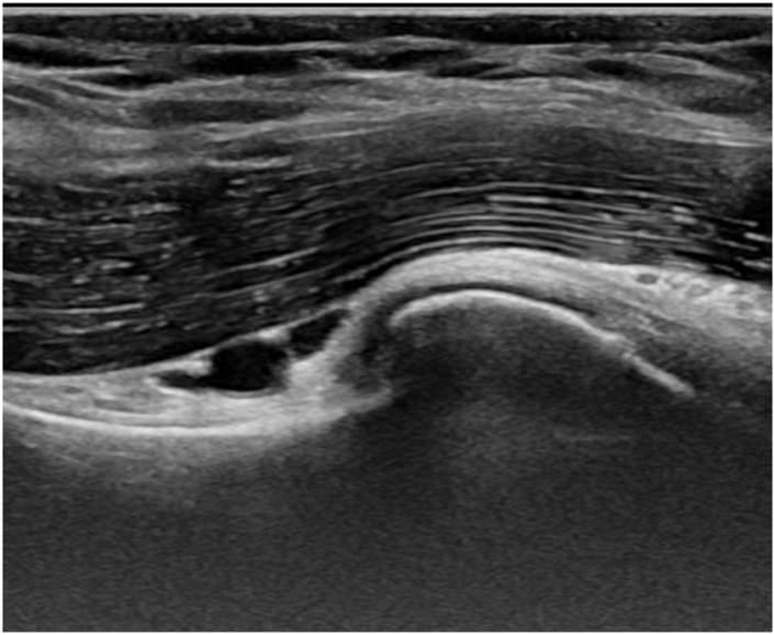
Echografie
Bij het SchouderHuis maken we naast lichamelijk onderzoek gebruik van echografie. Je kunt met echografie sterke aanwijzingen vinden voor slijtage. We overleggen met de huisarts of het maken van röntgenfoto’s dan nog nodig is. Als de schouder zoveel klachten geeft dat je meer hulp nodig hebt dan fysiotherapie kan bieden, dan word je doorgestuurd naar de orthopedisch chirurg.
De fysiotherapeuten van het Het FysioHuis |SchouderHuis zijn gespecialiseerd in het onderzoeken van schouderklachten.
Behandeling artrose schouder
Fysiotherapie
De meeste gewrichtsklachten worden behandeld met rust, medicijnen en fysiotherapie. We noemen dit ook wel ‘conservatieve’ therapie.
Therapie is gericht op het verminderen van de pijn in combinatie met het verbeteren van de beweeglijkheid van het gewricht.
De fysiotherapeut probeert ook vaak het aansturen van het gewricht te verbeteren. Het versterken van de spieren van het gewricht kan geen kwaad. Bedenk, je kan pas kracht trainen als de pijn wat afneemt.
Injectie artrose
Als de pijn op de voorgrond staat, lukt oefenen vaak maar slecht. Je slaapt slecht en iedere beweging is vervelend. Kortom, fysiotherapie biedt nu weinig houvast.
Voor dat soort klachten heeft het zin om te overleggen met de huisarts voor medicijnen tegen de pijn. Als paracetamol niet goed werkt, kan de huisarts wat sterkere medicatie voorschrijven.
Bij onvoldoende verbetering wordt soms gekozen voor een corticosteroïden-injectie. Dit is een ontstekingsremmend medicijn. Er kleven ook nadelen aan zo’n injectie. Je huisarts grijpt hier dus niet graag meteen naar.
Als niks helpt kan je een operatie overwegen. Hiervoor zijn verschillende mogelijkheden.
Operatie artrose schouder
Er worden grofweg verschillende operaties beschreven bij artrose van de schouder. Hieronder een onvolledig maar overzicht van de meest uitgevoerde operaties.
Bicepstenotomie
Bij bicepsklachten beschrijven we het doorknippen van de bicepspees. Bij artrose van de schouder is ook vaak de bicepspees aangedaan. Je ziet vaak al wat slijtage van het gewricht, maar door de bicepspees te ‘behandelen’, neem je de meeste klachten weg.
Kop-kom prothese schouder
Als je pezen van de schouder nog goed functioneren, kan je kiezen voor een kop-kom prothese. Er wordt nu een nieuwe kop en een nieuwe kom geplaatst op resp. je bovenarm en schouderblad. Je krijgt vaak weer een goede beweeglijkheid van de schouder. Als bijv. alleen de kop wordt vervangen, spreek je van een hemi-prothese.
Reversed kop-kom prothese
Dit is een bijzondere constructie die steeds vaker wordt uitgevoerd met goede resultaten: kop en kom worden omgedraaid. De orthopeed maakt van de kop nu een kom en andersom. Het is wel een gewrichtsvervangende prothese.
Deze operatie wordt vaak gedaan als de schouderpezen niet meer goed werken. Je tilt na de operatie de schouder op aan de buitenste schouderspier, meestal met verbluffend goed resultaat.
Van Aandoening naar Beter
Schoudernetwerk Midden Nederland
Bij het FysioHuis | SchouderHuis zijn we aangesloten bij het Schoudernetwerk Midden Nederland. Dit is een groep fysiotherapeuten die regionaal en landelijk afspraken hebben gemaakt over de voorwaarden en eisen die gesteld worden aan een goed revalidatieprogramma voor schouders. Ook beschikt het netwerk over nauwe contacten met (schouder) orthopeden voor over operaties of andere behandelmogelijkheden.
Meer informatie kunt u vinden op Schoudernetwerk Midden Nederland.





